BLOG LIST スタッフブログ一覧
11月のセール品の紹介です🌼

こんにちは☺︎ ロータス歯科矯正歯科です🦷 今月のSALE品を紹介します🫧 ✨ホームホワイトニングジェル✨ 通常販売価格13200円→キャンペーン価格11000円 で販売します!! 大事な行事の前や、お出かけシーズンでお家で手軽に歯を白くしたい方におすすめです! 先着5名限定になります。この機会に是非ご購入下さい♪ ※ホー …
11月の診療日です🌱

こんにちは☺︎ ロータス歯科矯正歯科です🦷 🍠11月の診療日です🍠 2日(日)3日(月)休診日 5日(水)診療日 15日(土)休診日 16日(日)診療日 18日(火)午後休診 22日(土)18時まで診療 23日(日)24日(月)25(火)休診日 ※その他水曜日、日曜日は休診日となります🙇🏻♀️ ご不明な点などござい …
今年もハロウィンイベントを開催します🎃

こんにちは☺︎ ロータス歯科矯正歯科です🦷 今年もハロウィンイベントを開催します🎃🌙 期間:10月27日(月)〜31日(金)の5日間 29日(水)は休診日となります 対象者:小学生以下のお友達👧🏻👦🏻 内容:診療に来てくれたお友達にはお菓子を、また仮装してきてくれたらプレゼントもご用意しております🎁✨ フォトブースも準備 …
ブルーラジカルの感想をお聞きしました💡

こんにちは☺︎ ロータス歯科矯正歯科です🦷 ブルーラジカル施術後の患者さんにインタビューをさせて頂きました❕🎤 ブルーラジカルをやる前のご自身の症状や、施術中のお痛み、術後の症状など詳しくお話いただいています💁🏻♀️ これからブルーラジカルをやろうと思っている方、まだ迷っている方でも患者さんのリアルな声をぜひ参考にしてみて下さい👀✨ 患者 …
10月の診療日です🌈

こんにちは☺︎ ロータス歯科矯正歯科です🦷 🌕10月の診療日です🌕 12、13(日)(月)休診日 15(水)午後休診 18(土)18:00まで診療 25(土)休診日 26(日)診療日 ※その他水曜日、日曜日は休診日となります🙇🏻♀️ ご不明な点などございましたらお電話頂ければと思います☎︎ 10月もご予約お待ちしておりま …
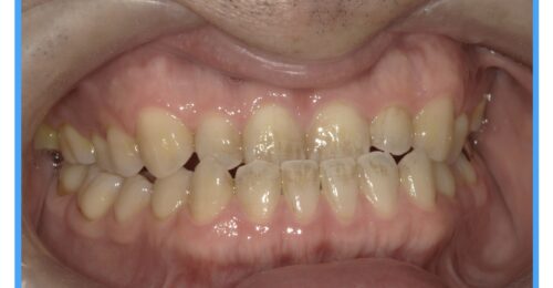
エアフロー症例です🦷🫧

こんにちは☺︎ ロータス歯科矯正歯科です🦷 エアフローの症例をご紹介します✨ この方は定期検診で3ヶ月に1度通って頂いている方で、毎回エアフローの施術をご希望されています❕ 毎日コーヒーを飲まれるそうです☕️ エアフローは15分の施術で、患者様自身が綺麗になったことを実感いただけるクリーニングです🦷✨ 着色汚れ …
今月のおすすめケア用品です🫧

🫧 こんにちは☺︎ ロータス歯科矯正歯科です🦷 今月のおすすめ物販をご紹介します🧑🏻⚕️ 「フロアフロス」です🌟 たくさんの細かい繊維でできているため、汚れをしっかり絡め取ってくれます✨ また、水分でフワッと広がるタイプの糸なので、お口の中の唾液に触れる事で糸が広がり、 歯茎の中に入れてもあまり痛くないのが特徴です🫧 定期検 …
患者様にお知らせです📢🙇🏻♀️

こんにちは☺︎ #ロータス歯科矯正歯科です🦷 いつも当院にご来院頂き誠にありがとうございます😊 この度キャンセルポリシーについて見直しさせて頂きました。 ただいま土曜日・日曜日・遅いお時間帯のご予約が 大変混み合っている為、キャンセルやご変更をされますと 次回のご予約が数ヶ月以上先でのご案内となります。 皆様にはご迷惑をお掛けし、大 …
ブルーラジカル認定衛生士セミナーに参加してきました🙌🏻✨

こんにちは☺︎ #ロータス歯科矯正歯科です🦷 ブルーラジカル認定衛生士セミナーに参加してきました❕🫐 ブルーラジカルの原理のお話や、日々の診療でのQ&Aがクイズ形式になっていたりと、とてもわかりやすい内容でした! また、他院の衛生士さんとのグループディスカッションがあり貴重な情報交換の場となりました✨ お昼ご飯もブュッフェと新しいス …
